Examen du corps et levée de corps
Seul l’autorité judiciaire (Procureur de la République ou Officier de Police Judiciaire) peut demander un examen du corps et une autopsie. L’ examen du corps s’appelle généralement un « examen externe ». Cette demande a pour but d’éclaircir certaines zones d’ombres entourant le décès :
- Existe-t-il des lésions traumatiques visibles à l’œil nu ?
- Si oui, combien ? Quelles sont-elles ?
- De quelles origines sont-elles ? Quel degré de gravité comportent-elles ?
- A quand remonte la mort ?
Il arrive régulièrement qu’un simple examen externe ne soit pas suffisant pour déterminer les circonstances de la mort. C’est pourquoi, l’autorité compétente peut demander de poursuivre les investigations par le biais d’une autopsie médico-légale.
Lors de l’examen externe du corps, le médecin en charge d’examiner le corps va fixer son attention sur différents points.
- L’environnement du cadavre
Avec le concours indispensable de l’enquêteur (Officier de Police Judiciaire), le médecin légiste peut réaliser différentes hypothèses suivant les circonstances du cas (présence de drogue, de médicaments, taches de sang, armes à feu, désordre etc.)
- L’examen minutieux du corps
Si le corps a été déplacé par les premiers secours (ce qui arrive régulièrement), le médecin légiste peut demander à l’enquêteur la position dans laquelle a été retrouvée la victime par les premiers intervenants (dans son lit, dans une baignoire, face contre terre, pendaison complète ou incomplète etc.)
Sauf cas exceptionnels, lors d’une assistance à un Officier de Police Judiciaire, la Police Technique et Scientifique ne fait que constater et photographier le corps de la victime. Il est formellement interdit de toucher, déplacer ou réaliser des prélèvements sur le corps d’une victime sans l’avis et la présence d’un médecin légiste. Le rôle de la Police Technique et Scientifique est de fixer la scène telle qu’elle apparaît à son arrivée. La connaissance des signes thanatologiques est donc très importante afin de mettre ces éléments en évidence lors de la prise de clichés numériques. Le technicien en scène de crime se verra alors réaliser un album photographique lié à cette « enquête décès » où il situera le corps de la victime dans l’espace (chambre, lit, baignoire, parties communes etc.) et dans le temps (fixation des signes positifs de la mort).
Le médecin légiste et l’Officier de Police Judiciaire peuvent procéder ou faire procéder aux prélèvements et aux conditionnements de vêtements et bijoux en vue d’identification ou pour recherche d’éventuelles déchirures, traces biologiques ou microtraces (bris de verre, peintures, fibres, résidus de tirs etc.)
Enfin, l’examen du corps complet peut commencer avec généralement une façon de progresser assez standardisée en partant de la tête vers le tronc puis aux extrémités des membres.
Que recherche le médecin légiste lors d’un examen externe d’un corps ? :
- Au niveau de la tête
- Recherche de cyanose de la face
- Recherche de plaies, cicatrices, tuméfaction du cuir chevelu et du visage
- Examen des conjonctives (yeux et paupières inférieures)
- Examen des orifices (bouche, nez, oreille) à la recherche de plaies, fractures, dents cassées etc.
- Examen du cou à la recherche d’hématome ou de sillon (strangulation ou pendaison)
- Au niveau du tronc
- Recherche d’ecchymoses et de plaies
- Examens des organes génitaux et de la marge anale (recherche de plaies, fissures, ecchymoses ou dermabrasions)
- Au niveau des membres
- Examen des extrémités (ongles, doigts, orteils) à la recherche de cyanose
- Possibilité de procéder à un curage des ongles (la victime ayant pu griffer son agresseur ou arracher des fibres)
- Recherche de point(s) d’injection(s) (au niveau de l’avant bras et du pli des coudes)
- Examen ostéo-articulaire à la recherche de déformations, fractures ou luxations.
Une fois cet examen réalisé par le médecin, celui-ci va pouvoir se prononcer et conclure à l’un des types de mort suivants :
- La mort est suspecte : Il s’agit du cas où il existe un doute quant aux véritables circonstances de la mort.
- Une mort naturelle lorsqu’elle survient suite à un état pathologique ou physiologique connu ou non.
- Une mort violente lorsqu’elle est consécutive à une action violente provoquée par l’intervention d’un agent extérieur dont l’origine peut être criminelle, accidentelle ou suicidaire. Dans ce cadre précis, l’intérêt devient d’ordre public. Le but est alors de vérifier s’il existe bien une relation directe entre l’acte violent et la mort afin d’apporter le maximum de renseignements médico-légaux permettant de qualifier le plus justement possible le contexte de la mort (accident, homicide, suicide etc.).
L’ autopsie médico-légale :
L’ autopsie médico-légale est demandée par l’autorité judiciaire (le plus souvent par le Procureur de la République). Celui-ci adresse une réquisition aux fins d’autopsie au médecin légiste de son choix. L’ autopsie médico-légale est effectuée sans nécessité de recueillir l’accord de la famille du défunt. Toutefois, la loi du 17 Mai 2011 prévoit désormais l’information de la famille sur la réalisation d’une autopsie.
L’ autopsie médico-légale a pour but de déterminer les causes et circonstances de la mort lorsque celle-ci est violente, suspecte ou inexpliquée. Ainsi, l’autopsie peut être demandée dans trois circonstances :
- Lors d’une intervention probable d’un tiers pouvant être à l’origine du décès (volontaire ou non). Par exemple : Accident sur chantier. Est-ce-que l’équipement de protection de la victime était suffisant au regard de son activité ?
- Identification du défunt (catastrophe de masse, absence de documents d’identité, corps non reconnaissable). Par exemple : Tsunami de 2004, Crash Germanwings en 2015
- Etablissement des causes de la mort (mort subite, noyades, accidents de la route etc.) Par exemple : Lors d’une noyade. Est-ce-que la victime s’est véritablement noyée ? Est-ce qu’elle a été maintenue par force sous l’eau ? A t’elle été tuée avant d’être jetée à l’eau ?
La réalisation de l’ autopsie suit deux grands principes :
- Elle doit être réalisée le plus rapidement possible après la constatation de la mort afin d’éviter les phénomènes d’altération des tissus
- Elle doit être toujours complète et systématique afin de ne manquer aucun élément déterminant. Chaque organe est analysé dans son environnement puis séparément quelle que soit la cause de la mort.
Le médecin légiste en charge de l’autopsie se rapproche de l’enquêteur ou directement du Procureur de la République dans certains cas, afin de recueillir un maximum d’informations concernant l’affaire (date et heure de découverte, circonstances, environnement, informations de police technique et scientifique, antécédents médicaux et cliniques etc.)
L’ autopsie comporte deux phases :
- L’examen externe
- L’examen interne
Durant ces examens autopsiques le médecin légiste est généralement assisté d’une seconde personne appelée identificateur qui va suivre les instructions du légiste (nettoyer une partie du corps, prélever un organe, effectuer un acte médico-légal particulier etc.)
- L’examen externe :
Cet examen identique a celui réalisé par le médecin lors de la découverte du corps sur les lieux, se déroule dans des conditions environnementales plus appropriées (éclairage, corps dévêtu, nettoyé).
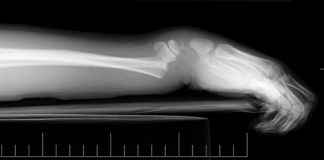
Le médecin légiste peut demander une radiographie du corps avant de commencer l’autopsie s’il le juge nécessaire. Cet examen est notamment indispensable pour :
- Identifier et localiser des fractures, des cals osseux (reformation de l’os après une fracture) ou des liaisons osseuses spécifiques permettant d’évaluer leur ancienneté (ce sont des éléments très souvent utilisés dans les cas de violences et maltraitances)
- Rechercher et localiser un projectile balistique (Est-ce que le projectile s’est fragmenté ? S’est-il logé dans un os ? Quelle est la trajectoire du projectile dans le corps (balistique lésionnelle) ?)
- Identifier une personne (Est-ce que la personne est porteuse d’une prothèse ? d’une broche ? d’un pace maker ? Peut-on déterminer approximativement l’âge de la victime au regard de ses os ? Est-ce que la personne porte un appareil orthodontique ? etc.)
Dans le cas d’une mort suspecte par empoisonnement par exemple, le médecin légiste peut demander à effectuer une analyse toxicologique des cheveux de la victime. En effet, le cheveu permet d’avoir un aperçu de l’histoire toxicologique du défunt, les semaines ou mois ayant précédé sa mort. Pour les personnes dépendantes, cette analyse permet de retracer l’histoire de l’addiction dans le temps (drogue, alcool). Les cheveux poussant environ d’un centimètre par mois, les analyses de séquences de cheveux, centimètre par centimètre, permet de doser le principe actif (le mercure ou la cocaïne par exemple (mettre un lien avec l’article sur les traces digitales et cocaine) potentiellement ingéré par la victime. Les cheveux se conservent très bien et il est également possible de réaliser des examens toxicologiques sur des cheveux de cadavre datant de plusieurs années.
- L’examen interne :
Une fois l’examen externe terminé, le médecin légiste va pouvoir procéder à des incisions profondes à l’aide d’un scalpel (ce sont ces incisions que l’on appelle « crevées ») au niveau des masses musculaires (dos, bras, cuisse, mollet, fesse). Cet acte médico-légal consiste à mettre en évidence des zones ecchymotiques sous-cutanées et/ou intramusculaires potentiellement dues à un traumatisme (empoignement, strangulation, coup, lutte, entrave etc.). Il arrive parfois qu’à l’examen externe aucune trace ne soit apparente alors qu’une simple crevée au niveau d’une masse musculaire peut permettre la visualisation d’un hématome.
Au niveau des organes
Les organes du thorax (poumons, cœur) et les organes de l’abdomen (foie, pancréas, estomac, vésicule, reins, glandes surrénales, rate, intestin, vessie et organes génitaux) sont analysés en place puis enlevés. Ils sont ensuite examinés (examen macroscopique), disséqués et pesés. Très souvent le médecin légiste procède à des prélèvements de « fragments » d’organes aux fins d’analyses complémentaires histologiques (examen anatomo-pathologique) et toxicologiques. Il arrive que l’autorité judiciaire demande une assistance de Police Technique et Scientifique lors de l’ autopsie. Dès lors, l’agent spécialisé ou technicien de Police Technique et Scientifique procède aux prises de vues numériques des différents actes médico-légaux.
Les analyses histologiques permettent d’observer au microscope des échantillons d’organes et de tissus prélevés lors de l’autopsie. Cet examen peut permettre de dater les ecchymoses et hématomes, d’expliquer le mécanisme ayant entraîné la mort (intoxication au monoxyde de carbone par exemple) et, éventuellement, de faire un diagnostic de pathologie (cancer, infarctus du myocarde, maladie infectieuse etc.)
Les analyses toxicologiques permettent quant à elles d’identifier des substances toxiques présentes dans le sang et de les quantifier afin d’évaluer leur degré de létalité. A cette fin, le sang, l’urine et les viscères sont analysés.
Au niveau des voies aériennes :
La langue, le carrefour laryngé, l’œsophage, la trachée et les artères carotides sont ôtés par voie sous mandibulaire puis disséqués (recherche d’éléments obturant). Les cartilages laryngés seront examinés avec beaucoup d’attention car il arrive très fréquemment que l’os hyoïde se fracture en cas de traumatisme cervical (strangulation par exemple).
Au niveau de la boîte crânienne :
Le médecin légiste procède à une découpe minutieuse de la boîte crânienne afin d’extraire l’encéphale et la dure-mère. L’encéphale est pesé, disséqué puis prélevé. La base du crâne est scrupuleusement analysée afin de rechercher d’éventuelles fractures de la boîte crânienne.
Une fois l’ autopsie médico-légale effectuée, une autre étape importante intervient, non pas au niveau judiciaire mais au niveau humain : il s’agit de la restauration du corps. Les organes non prélevés sont remis à l’intérieur du corps et celui-ci est suturé (y compris les lésions profondes). Le corps est ensuite nettoyé, parfois maquillé, et habillé selon les volontés de la famille.



